File: LEVINE,JOSHUA - Recon 2 FULLBODY

Patient Name: LEVINE,JOSHUA
Study ID: 927
Study Date: 20021017



Group, Element Tag Description VR Length Value
0002,0000 Group Length UL 4 138
0002,0001 File Meta Information Version OB 2 0
0002,0002 Media Storage SOP Class UID UI 26 1.2.840.10008.5.1.4.1.1.2
0002,0010 Transfer Syntax UID UI 18 1.2.840.10008.1.2
0002,0012 Implementation Class UID UI 16 1.2.804.114118.3
0002,0013 Implementation Version Name SH 6 eFilm
0002,0016 Source Application Entity Title AE 18 
0008,0000 Group Length UL 4 410
0008,0008 Image Type CS 22 ORIGINAL\PRIMARY\AXIAL
0008,0012 Instance Creation Date DA 8 20021017
0008,0013 Instance Creation Time TM 6 161341
0008,0014 Instance Creator UID UI 0  
0008,0016 SOP Class UID UI 26 1.2.840.10008.5.1.4.1.1.2
0008,0020 Study Date DA 8 20021017
0008,0021 Series Date DA 8 20021017
0008,0022 Acquisition Date DA 8 20021017
0008,0023 Image Date DA 8 20021017
0008,0030 Study Time TM 6 160539
0008,0031 Series Time TM 6 160832
0008,0032 Acquisition Time TM 6 160843
0008,0050 Accession Number SH 0  
0008,0060 Modality CS 2 CT
0008,0070 Manufacturer LO 18 GE MEDICAL SYSTEMS
0008,0080 Institution Name LO 12 CTSI MADISON
0008,0090 Referring Physician's Name PN 0  
0008,1010 Station Name SH 8 CT53_OC0
0008,1030 Study Description LO 12 9274LENY2744
0008,103E Series Description LO 18 Recon 2: FULLBODY
0008,1040 Institutional Department Name LO 0  
0008,1050 Performing Physician's Name PN 0  
0008,1060 Name of Physician(s) Reading Study PN 0  
0008,1070 Operators' Name PN 4 LMB
0008,1080 Admitting Diagnoses Description LO 0  
0008,1090 Manufacturer's Model Name LO 16 LightSpeed Ultra
0010,0000 Group Length UL 4 98
0010,0010 Patient's Name PN 14 LEVINE,JOSHUA
0010,0020 Patient ID LO 6 NYM753
0010,0030 Patient's Birth Date DA 8 19671231
0010,0040 Patient's Sex CS 2 M
0010,1010 Patient's Age AS 4 034Y
0010,1020 Patient's Size DS 0  
0010,1030 Patient's Weight DS 0  
0010,4000 Patient Comments LT 0  
0018,0000 Group Length UL 4 344
0018,0010 Contrast/Bolus Agent LO 0  
0018,0015 Body Part Examined CS 0  
0018,0020 Scanning Sequence CS 0  
0018,0022 Scan Options CS 12 HELICAL MODE
0018,0050 Slice Thickness DS 8 2.500000
0018,0060 KVP DS 4 120
0018,0088 Spacing Between Slices DS 10 2.480315
0018,0090 Data Collection Diameter DS 10 500.000000
0018,1000 Device Serial Number LO 0  
0018,1020 Software Version(s) LO 24 LightSpeedApps303.1_H3M4
0018,1030 Protocol Name LO 18 8.6 HEART/FULLBODY
0018,1041 Contrast/Bolus Volume DS 0  
0018,1061 Trigger Source or Type LO 0  
0018,1090 Cardiac Number of Images IS 0  
0018,1100 Reconstruction Diameter DS 10 360.000000
0018,1110 Distance Source to Detector DS 10 949.075012
0018,1111 Distance Source to Patient DS 10 541.000000
0018,1120 Gantry/Detector Tilt DS 8 0.000000
0018,1130 Table Height DS 10 199.300003
0018,1150 Exposure Time IS 4 908
0018,1151 X-ray Tube Current IS 2 40
0018,1152 Exposure IS 4 440
0018,1210 Convolution Kernel SH 4 LUNG
0018,5100 Patient Position CS 4 FFS
0020,0000 Group Length UL 4 346
0020,000D Study Instance UID UI 52 1.2.840.113619.2.55.1.1762905944.1606.1034870202.706
0020,000E Series Instance UID UI 54 1.2.840.113619.2.55.1.1762905944.1606.1034870202.768.4
0020,0010 Study ID SH 4 927
0020,0011 Series Number IS 2 4
0020,0012 Acquisition Number IS 2 1
0020,0020 Patient Orientation CS 0  
0020,0037 Image Orientation (Patient) DS 54 1.000000\0.000000\0.000000\0.000000\1.000000\0.000000
0020,0052 Frame of Reference UID UI 62 1.2.840.113619.2.55.1.1762905944.1606.1034870202.707.12.13574
0020,0060 Laterality CS 0  
0020,0110 Temporal Resolution DS 0  
0020,1002 Images in Acquisition IS 8 4499196
0020,1208 Number of Study Related Images IS 4 128
0020,4000 Image Comments LT 0  
0028,0000 Group Length UL 4 180
0028,0002 Samples per Pixel US 2 1
0028,0004 Photometric Interpretation CS 12 MONOCHROME2
0028,0008 Number of Frames IS 4 128
0028,0010 Rows US 2 512
0028,0011 Columns US 2 512
0028,0030 Pixel Spacing DS 14 0.7031\0.7031
0028,0100 Bits Allocated US 2 16
0028,0101 Bits Stored US 2 12
0028,0102 High Bit US 2 11
0028,0103 Pixel Representation US 2 0
0028,1050 Window Center DS 6 40
0028,1051 Window Width DS 6 400
0028,1052 Rescale Intercept DS 6 -1024
0028,1053 Rescale Slope DS 6 1.000


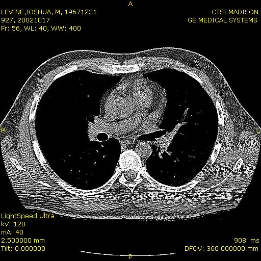
Frame : 0001

Frame : 0002

Frame : 0003

Frame : 0004

Frame : 0005

Frame : 0006

Frame : 0007

Frame : 0008

Frame : 0009

Frame : 0010

Frame : 0011

Frame : 0012

Frame : 0013

Frame : 0014

Frame : 0015

Frame : 0016

Frame : 0017

Frame : 0018

Frame : 0019

Frame : 0020

Frame : 0021

Frame : 0022

Frame : 0023

Frame : 0024

Frame : 0025

Frame : 0026

Frame : 0027

Frame : 0028

Frame : 0029

Frame : 0030

Frame : 0031

Frame : 0032

Frame : 0033

Frame : 0034

Frame : 0035

Frame : 0036

Frame : 0037

Frame : 0038

Frame : 0039

Frame : 0040

Frame : 0041

Frame : 0042

Frame : 0043

Frame : 0044

Frame : 0045

Frame : 0046

Frame : 0047

Frame : 0048

Frame : 0049

Frame : 0050

Frame : 0051

Frame : 0052

Frame : 0053

Frame : 0054

Frame : 0055

Frame : 0056

Frame : 0057

Frame : 0058

Frame : 0059

Frame : 0060

Frame : 0061

Frame : 0062

Frame : 0063

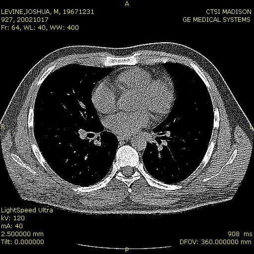
Frame : 0064

Frame : 0065

Frame : 0066

Frame : 0067

Frame : 0068

Frame : 0069

Frame : 0070

Frame : 0071

Frame : 0072

Frame : 0073

Frame : 0074

Frame : 0075

Frame : 0076

Frame : 0077

Frame : 0078

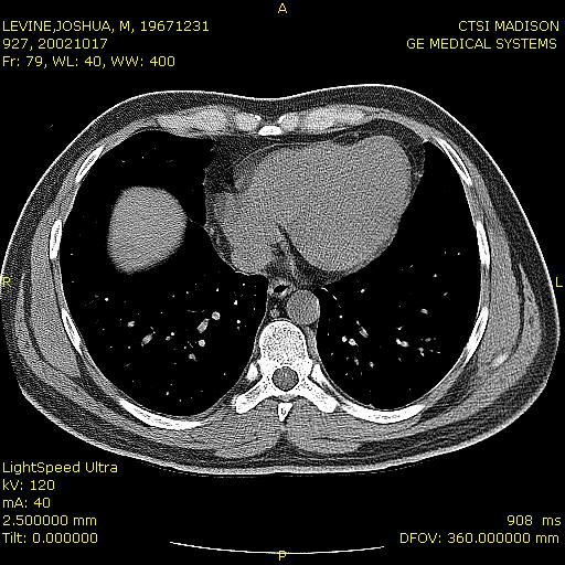
Frame : 0079

Frame : 0080

Frame : 0081

Frame : 0082

Frame : 0083

Frame : 0084

Frame : 0085

Frame : 0086

Frame : 0087

Frame : 0088

Frame : 0089

Frame : 0090

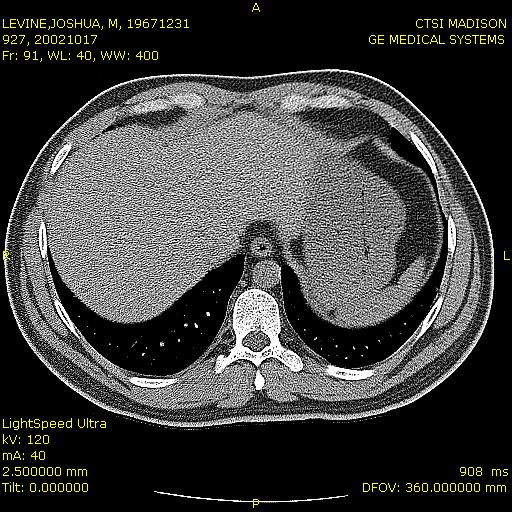
Frame : 0091

Frame : 0092

Frame : 0093

Frame : 0094

Frame : 0095

Frame : 0096

Frame : 0097

Frame : 0098

Frame : 0099

Frame : 0100

Frame : 0101

Frame : 0102

Frame : 0103

Frame : 0104

Frame : 0105

Frame : 0106

Frame : 0107

Frame : 0108

Frame : 0109

Frame : 0110

Frame : 0111

Frame : 0112

Frame : 0113

Frame : 0114

Frame : 0115

Frame : 0116

Frame : 0117

Frame : 0118

Frame : 0119

Frame : 0120

Frame : 0121

Frame : 0122

Frame : 0123

Frame : 0124

Frame : 0125

Frame : 0126

Frame : 0127

Frame : 0128